Причины
Почему кожа в ушах шелушится? Существует множество факторов, способствующих этому явлению. Например, в летний период избыточное шелушение может быть вызвано солнечными ожогами, так как кожа ушей тонкая и быстро обгорает на солнце. У людей, часто плавающих в бассейне с хлорированной водой, также может наблюдаться пересыхание кожи ушей, что приводит к образованию чешуек и корочек.
Неправильный уход за гигиеной — еще одна причина шелушения. Люди, регулярно использующие ватные палочки для чистки ушей, часто сталкиваются с образованием корочек в слуховом проходе. Это происходит из-за повреждения эпидермиса при чрезмерной механической чистке. Рекомендуется отказаться от ватных палочек и очищать слуховой проход с помощью марлевого тампона и теплой воды не чаще одного раза в неделю.
С другой стороны, недостаточный уход также может привести к шелушению. Если человек регулярно моет уши, омертвевший эпидермис постепенно и незаметно отшелушивается. Рекомендуется мыть ушные раковины, аккуратно протирая их мочалкой или влажным марлевым тампоном. Если шелушение прекратилось, поводов для беспокойства нет.
Тем не менее, стоит помнить, что шелушение ушных раковин может быть симптомом некоторых дерматологических заболеваний. Рассмотрим наиболее распространенные из них.
Врачи отмечают, что шелушение в ушах может быть вызвано различными факторами. Одной из основных причин является сухость кожи, которая может возникать из-за недостатка влаги в воздухе или частого использования слуховых аппаратов. Также шелушение может быть связано с аллергическими реакциями на косметические средства или ухаживающие продукты. Инфекции, такие как экзема или грибковые заболевания, также могут вызывать подобные симптомы.
Для лечения специалисты рекомендуют использовать увлажняющие кремы и масла, которые помогут восстановить баланс влаги. Важно избегать травмирования кожи в ушах и не использовать ватные палочки, так как это может усугубить проблему. В случае, если шелушение сопровождается зудом или воспалением, врач может назначить противовоспалительные препараты или антигистаминные средства. Регулярные консультации с отоларингологом помогут выявить причины и подобрать эффективное лечение.

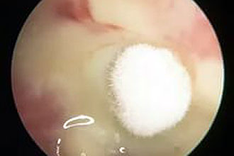
Микозы ушной раковины
Микозы — это грибковые инфекции. Кожа ушного канала и ушной раковины может подвергаться микозу, если человек чрезмерно очищает слуховой проход от серы. Также отомикозом могут страдать пациенты с сахарным диабетом.
Отомикоз может развиться в процессе лечения отита. Это происходит потому, что спиртовые капли для ушей (борный и фурацилиновый спирт), а также капли с антибиотиками уничтожают бактерии в слуховом проходе. Хотя это помогает в лечении отита, оно может привести к неконтролируемому размножению грибков. Бактерии и грибки — постоянные соперники: когда одни уничтожаются, другие получают возможность беспрепятственно колонизировать поверхность кожи.
Крайне важно соблюдать дозировку и продолжительность курса лечения при использовании антибактериальных капель для ушей. В противном случае на фоне терапии может развиться отомикоз.
При отомикозе пациента беспокоит зуд, налет или выделения желтого или черного цвета, а также шелушение в ушах. Лечение включает использование капель или мазей для ушей с противогрибковым эффектом, таких как Миконазол или Клотримазол. В некоторых случаях назначаются противогрибковые препараты общего действия, которые ускоряют процесс выздоровления, например, Флуконазол или Кетоконазол в форме таблеток.
| Причина шелушения в ушах | Симптомы (дополнительно к шелушению) | Возможные методы лечения/рекомендации |
|---|---|---|
| Сухая кожа | Зуд, чувство стянутости в ушах | Использование увлажняющих капель для ушей, нанесение небольшого количества вазелина или минерального масла на кожу вокруг ушей (избегая попадания в слуховой проход), увлажнение воздуха в помещении. |
| Себорейный дерматит | Красные, чешуйчатые пятна, возможно, желтоватые корочки, зуд, воспаление. | Противогрибковые мази (по назначению врача), шампуни с противогрибковым действием (для обработки кожи вокруг ушей), кортикостероидные мази (по назначению врача). |
| Экзема | Сильный зуд, покраснение, может быть мокнутие, образование трещин. | Смягчающие кремы и мази, кортикостероидные мази (по назначению врача), иммуномодуляторы (по назначению врача), избегание аллергенов. |
| Псориаз | Красные, чешуйчатые бляшки, сильный зуд. | Топические кортикостероиды (по назначению врача), фототерапия, системные препараты (по назначению врача). |
| Инфекция (грибковая, бактериальная) | Боль, гнойные выделения, отек, повышение температуры тела (возможно). | Противогрибковые или антибактериальные препараты (по назначению врача). |
| Аллергическая реакция | Зуд, покраснение, отечность, возможно, выделения из ушей. | Избегание аллергена, антигистаминные препараты (по назначению врача). |
| Отит (воспаление наружного слухового прохода) | Боль, зуд, отек, возможно, гнойные выделения. | Антибактериальные или противогрибковые капли для ушей (по назначению врача). |
Псориаз
Шелушение ушных раковин, как снаружи, так и изнутри, может быть первым признаком псориаза. Это хроническое кожное заболевание проявляется розовой сыпью, покрытой чешуйками эпидермиса.
Причиной псориаза является аномально быстрое деление клеток кожи. В результате накапливаются эпителиоциты, формируя бляшки и ороговевшие чешуйки. Пациенты могут испытывать дискомфорт, включая зуд и боль в пораженных областях. Псориаз чаще всего затрагивает людей с генетической предрасположенностью.
Псориатические бляшки обычно появляются за ушами, вдоль линии роста волос, на мочках ушей и в слуховом проходе.
Людям с псориазом следует уделять особое внимание гигиене ушей. Рекомендуется аккуратно протирать все изгибы ушной раковины, мочки и видимую часть слухового прохода ватным тампоном, смоченным в теплой подсоленной воде. После этого необходимо нанести крем, назначенный лечащим врачом.
Если псориаз затрагивает слуховой проход, чешуйки ороговевшей кожи могут частично или полностью закрыть его просвет. В таком случае важно обратиться к врачу, чтобы избежать образования серной пробки.
Шелушение в ушах — это распространённая проблема, о которой говорят многие. Люди описывают это состояние как дискомфорт, зуд и иногда даже боль. Причины могут быть разнообразными: от сухости кожи и аллергических реакций до инфекций или экземы. Часто причиной становится неправильный уход за ушами или использование некачественных средств гигиены.
Лечение зависит от причины. В случае аллергии рекомендуется избегать раздражающих веществ, а при инфекциях — обратиться к врачу для назначения антибиотиков или противогрибковых препаратов. Увлажняющие кремы и масла могут помочь при сухости кожи. Важно помнить, что самолечение может усугубить ситуацию, поэтому консультация специалиста всегда будет уместной. Заботясь о здоровье ушей, можно избежать многих неприятностей.

Аллергический дерматит
Аллергический контактный дерматит
Аллергический контактный дерматит — это реакция повышенной чувствительности к веществам, взаимодействующим с кожей. Чаще всего это заболевание затрагивает чувствительную кожу ушных раковин.
Аллергия на металл — одна из наиболее распространённых причин шелушения мочек ушей. Это касается как женщин, так и мужчин, которые носят серьги.
Микроскопические частицы металла, проникая через эпидермис, изменяют белки организма. В результате иммунная система начинает воспринимать их как чуждые, что и вызывает аллергическую реакцию.
Симптомы контактного дерматита проявляются на участках кожи, соприкасающихся с аллергеном. К основным признакам дерматита ушных раковин относятся:
- шелушение кожи;
- отёк и покраснение мочек и слухового прохода;
- зуд, реже — болезненные ощущения при прикосновении;
- сыпь в виде пузырьков.
Аллергическую реакцию могут вызывать как драгоценные, так и бижутерные украшения. Наиболее часто контактный дерматит вызывают:
- Никель. Этот металл — самый распространённый аллерген среди металлов. Он часто содержится в бижутерии, пуговицах, молниях и различных устройствах, включая наушники и слуховые аппараты. Большинство людей нормально переносят никель, но у чувствительных людей могут возникать серьёзные проблемы при контакте с ним. Аллергия на никель может развиваться как с рождения, так и в результате частого контакта с этим металлом.
- Хром. Этот металл часто используется в красках и может покрывать бижутерию для придания блеска и защиты от коррозии. У людей с повышенной чувствительностью к хрому может развиваться аллергия на окрашивающие средства для волос.
- Золото и серебро. Эти благородные металлы сами по себе не вызывают аллергии, так как практически не вступают в реакцию с окружающими веществами. Однако дерматит может быть вызван примесями, содержащимися в украшениях.
- Кобальт. Этот металл используется в производстве красок для волос и может спровоцировать контактный дерматит кожи головы, ушей и шеи.
- Цинк. Он может присутствовать в бижутерии и входит в состав некоторых зубных пломб, что важно учитывать людям с непереносимостью этого металла.
- Медь. Этот металл часто используется в ювелирных изделиях для повышения прочности изделий из золота.
Для подтверждения диагноза врач может назначить провокационный тест. Лечение аллергической реакции на металл включает применение антигистаминных препаратов как местного, так и общего действия. При выраженных симптомах могут быть назначены глюкокортикостероиды местного действия, которые быстро снимают воспаление. Пациенту следует избегать контакта кожи с раздражающим металлом, иначе заболевание может проявляться вновь.
Источники: medscape.com, health.harvard.edu, medicalnewstoday.com.
Вопрос-ответ

Какие основные причины шелушения кожи в ушах?
Шелушение кожи в ушах может быть вызвано несколькими факторами, включая сухость кожи, аллергические реакции, экзему, грибковые инфекции или даже псориаз. Также это может быть результатом неправильной гигиены или частого использования слуховых аппаратов.
Как можно лечить шелушение в ушах в домашних условиях?
Для лечения шелушения в ушах в домашних условиях можно использовать увлажняющие кремы или масла, такие как кокосовое или оливковое масло, чтобы смягчить и увлажнить кожу. Также важно избегать травмирования кожи в ушах и не использовать ватные палочки, которые могут усугубить проблему.
Когда следует обратиться к врачу по поводу шелушения в ушах?
Если шелушение кожи в ушах сопровождается зудом, покраснением, болями или выделениями, рекомендуется обратиться к врачу. Также стоит посетить специалиста, если домашние методы лечения не приносят облегчения в течение нескольких дней.
Советы
СОВЕТ №1
Проверьте уровень влажности в помещении. Сухой воздух может способствовать шелушению кожи в ушах. Используйте увлажнители воздуха, особенно в зимний период, чтобы поддерживать оптимальный уровень влажности.
СОВЕТ №2
Обратите внимание на свою гигиену. Регулярно очищайте уши, но избегайте использования ватных палочек, которые могут повредить кожу и усугубить проблему. Вместо этого используйте мягкую ткань для аккуратного удаления загрязнений.
СОВЕТ №3
Следите за своим питанием. Недостаток витаминов, особенно витаминов A, E и группы B, может привести к сухости кожи. Включите в рацион больше свежих фруктов, овощей и полезных жиров, таких как авокадо и орехи.
СОВЕТ №4
Если шелушение не проходит, обратитесь к врачу. Это может быть признаком аллергии, инфекции или других заболеваний. Специалист поможет определить причину и назначит соответствующее лечение.

