Профилактика вывиха эндопротеза
На восстановление тканей и укрепление мышечного каркаса уходит 2–6 месяцев. Срок зависит от метода операции.
Условия восстановления стабильности ТБС:
- Соблюдение двигательного режима и положения повреждённой конечности.
- Правильное перемещение на костылях или других адаптационных средствах.
- Укрепление мышц, костных тканей с помощью лечебной гимнастики.
- Приём лекарств, посещение физиотерапевтических процедур, массажа.
- Выполнение рекомендаций врача, ограничение нагрузок и поднятия тяжестей.
- Постоянная диагностика мышечных и костных патологий, контроль массы тела.
Пациентам стоит также уделить внимание подбору ортопедической обуви и специальной кровати. Соблюдение профилактических мер ускорит выздоровление и сократит риск рецидивов.
Поскольку вывих эндопротеза хоть и редкое явление, но достаточно неприятное, лицам, которые перенесли операцию по его установке, важно соблюдать все правила профилактики данной ситуации. Данные меры включают в себя:
- Регулярное посещение врача с целью контроля над расположением эндопротеза;
- Осуществление всех необходимых процедур: массажа, лечебной физкультуры;
- Строгий контроль объемов физических нагрузок. Нельзя допускать подъем сильно больших тяжестей и через чур активные упражнения;
- Не допущение лишнего веса. Это значит, что рацион питания должен быть максимально здоровым и сбалансированным;
- Ношение удобной обуви, преимущественно ортопедической;
- Контроль над осанкой. Чем прямее спину будет держать пациент, тем меньше нагрузки будет осуществляться на протез.

Первая помощь
Вправить сустав самостоятельно невозможно, даже при наличии опыта. Устранить подвывих можно без обезболивания, а полный вывих требует анестезии. Сочленение окружают крупные мышцы, которые из-за травмы сильно напрягаются. Любые действия по вправлению сустава будут болезненными и неэффективными.
До приезда медицинских работников нужно оказать больному первую помощь. Пострадавшему надо принять обезболивающие и приложить холод к больному месту. Меры первой помощи зависят от состояния больного.
Нижнюю конечность фиксируют в том положении, в котором она была после травмы. Чтобы зафиксировать ногу, можно использовать в качестве шины подручные предметы: лыжные палки, ручку от швабры. Перед обездвиживанием шину следует обмотать бинтом. Дальнейшая терапия проводится травматологом.
Лечение при вывихе имплантата
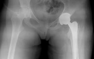
Пациента с такой травмой направляют на рентгенологическое обследование. При выявлении вывиха проводится закрытое вправление головки эндопротеза. Операция проводится под анестезией. После вправления человеку рекомендуется соблюдать постельный режим в течение 1 дней. Обездвиживание поврежденной конечности производится с помощью гипсовой повязки.
При отсутствии осложнений пациенту назначают процедуры лечебной физкультуры. На основании рентгенологических снимков специалисты выявляют степень износа элементов имплантата. При вывихе происходит смещение головки эндопротеза относительно чашки. Кроме того, рентгенологическое обследование позволяет определить симптомы остеолиоза.
Причиной этой патологии может быть лишний вес пациента. Процесс сопровождается очень интенсивным износом полиэтилена. Это приводит к изменению ориентации сустава. В результате возникает вывих тазобедренного сустава. Устранить вывих эндопротеза в такой ситуации может только артропластика. Цель этой операции – добиться стабильного положения эндопротеза.
Чтобы обеспечить правильное расположение всех элементов искусственного сустава необходимо восстановить натяжение мышц, окружающих имплантат. В процессе операции специалисту приходится менять вкладыш, чтобы изменить длину шейки имплантата. В особо сложных случаях хирург производит замену вертлюжного элемента. С помощью этих манипуляцией врачам удается стабилизировать тазобедренный сустав.
При обнаружении вышеуказанных признаков болезни стоит обратиться за медицинской помощью. Врач назначит правильный курс лечения после рациональной диагностики, которая включает следующие методы исследования пациента:
- Рентген-обследование пораженной ноги.
- Денсиметрия — позволяет судить о плотности и состоянии костей больного.
- Анализ костной ткани — дает возможность определить уровень отклонения обмена веществ (метаболизма).
Перед тем, как приступить к оздоровительным процедурам при вывихе имплантанта ТС, важно выявить первопричину патологии. Когда фактором образования аномалии стал избыточный вес пациента, наблюдается потеря ориентации поврежденного сустава. В таких случаях пациенту необходима артропластическая операция
В таких случаях пациенту необходима артропластическая операция.
Для этой цели восстанавливают мышечные ткани, которые находятся рядом с эндопротезом. Артропластическую операцию должен проводить только высококвалифицированный хирург (из-за сложности подобного метода устранения патологии).
В том случае, когда пациент жалуется на вышеперечисленные симптомы, врач назначает прохождение рентгенологического исследования. Если обнаруживается вывих головки имплантата, проводится экстренное закрытое вправление под наркозом или спиной анестезией.
Характер операции зависит от того, по какой причине произошел вывих, он может варьироваться от открытого вправления и удлинения шейки до замены типа эндопротеза.
После лечения больному показан постельный режим на протяжении 7-10 дней. Далее необходимо посещение кабинета лечебной физкультуры, чтобы укрепить абдукторы и мышцы передней группы. Пациент повторно обучается ходьбе под контролем врача-физиотерапевта.
При отсутствии осложнений пациенту назначают процедуры лечебной физкультуры. На основании рентгенологических снимков специалисты выявляют степень износа элементов имплантата. При вывихе происходит смещение головки эндопротеза относительно чашки. Кроме того, рентгенологическое обследование позволяет определить симптомы остеолиоза.
Причиной этой патологии может быть лишний вес пациента. Процесс сопровождается очень интенсивным износом полиэтилена. Это приводит к изменению ориентации сустава. В результате возникает вывих тазобедренного сустава. Устранить вывих эндопротеза в такой ситуации может только артропластика. Цель этой операции – добиться стабильного положения эндопротеза.
Симптомы осложнения после эндопротезирования тазобедренного сустава для лучшего восприятия будут представлены ниже в таблице. Быстрое обращение к врачу при первых подозрительных признаках поможет избежать прогрессирования нежелательных явлений, а в отдельных ситуациях сохранить имплантат без ревизионной операции. Чем запущеннее станет клиническая картина, тем сложнее она будет поддаваться терапевтической коррекции.
Вывих эндопротеза: лечение
Назначаемое лечение напрямую зависит от характера смещения протеза. Первичный случай, как правило, устраняется при помощи консервативного лечения. А вот если пациент обратился уже не в первый раз с данной проблемой, то скорее всего не избежать хирургического вмешательства.
Консервативное лечение
Консервативное лечение подразумевает традиционное вправление смещенного тазобедренного эндопротеза. Поскольку данная процедура достаточно болезненна, врач обязательно использует наркоз или спинальную анестезию.
После вправления эндопротеза, пациенту в обязательном порядке показан постельный режим. В среднем он продолжается 8-10 дней. Затем пациент начинает самостоятельно передвигаться при помощи костылей. Следующим этапом станет использование трости и наконец, ходьба без поддерживающих приспособлений.
Для того чтобы протез зафиксировался в нужном направлении, пациенту могут быть наложены:
- Гипсовая повязка. Она может закрывать всю конечность или только ее часть;
- Ортез. Одной из его разновидностей является деротационный сапожок;
- Лонгета. В данном случае она фиксируется под коленный сустав с обратной стороны ноги.
Перечисленные процедуры являются основой консервативного лечения. Но оно будет неполным без приема лекарственных препаратов. Они необходимы для того, чтобы ускорить процесс восстановления организма, а также для того, чтобы не допустить осложнения. Поэтому медикаменты назначаются комплексно: противовоспалительные препараты, антикоагулянты, стимулирующие микроциркуляцию, витаминные комплексы. При необходимости добавляют антибиотики.
Оперативное лечение
Поскольку вывих тазобедренного сустава может возникать по различным причинам, связанными, как с внутренними процессами в организме пациента, так и с воздействием внешнего характера, ход операции в каждом случае индивидуален. По этой причине проводится тщательная диагностика, согласно которой хирург будет осуществлять процедуру.
Помимо возвращения протеза в исходное положение, хирургическое вмешательство должно быть направлено и на устранение причин возможного рецидива. Таким образом, хирург может осуществлять следующие процедуры:
- Восстановление силы натяжения мышц, располагающихся вокруг протеза;
- Увеличение головки протеза;
- Увеличение длины шейки;
- Замена компонентов протеза;
- Замена протеза.
Характер у операции достаточно серьезный, а, если учитывать, что в большинстве своем пациентами являются пожилые лица с уже ослабленной структурой костей, то хирург должен осознавать всю ответственность своей работы.
Профилактика
Чтобы сократить риск рецидива вывиха эндопротеза, необходимо проводить профилактику:
- запрещено сгибать ноги в области тазобедренного сустава больше, чем на девяноста градусов. Двигательная активность должна быть плавной.
- Не рекомендовано скрещивать нижние конечности, садиться на присядки. Чтобы всегда помнить об этом, врачи рекомендуют использовать специальные мягкие подушки, которые кладут между ног.
- Когда человек просыпается утром, сидеть можно только на стуле, либо кресле с прямой спинкой, немного расставив ноги. Это поможет контролировать угол сгиба тазобедренного сустава (не более девяноста градусов).
- Лежа или сидя, лучше всего немножко отодвигать проблемную ногу в сторону. Это поможет проконтролировать, насколько правильное положение она принимает.
- Находясь в постели, когда необходимо укрыться одеялом, лежащим в ногах, лучше попросить помощи у других либо использовать какие-то приспособления. Обуваться без ложечки также запрещено.
Соблюдение таких профилактических мер на первоначальном этапе реабилитации тазобедренного отдела после вывиха искусственного сустава поможет сократить вероятность появления опасных последствий, рецидива. Ограничения во время двигательной активности, ходьбы со временем исчезнут.
Необходимо понимать, что эндопротез – это не новый сустав, а имплантат, благодаря которому человеку удается жить без боли. Он имеет свойство изнашиваться. Средний срок носки искусственного сустава, составляет двадцать лет. Насколько быстро имплантат придет в негодность, зависит от каждого человека.
Обувь рекомендовано носить только на низком каблуке, с нескользящей подошвой.
Не стоит относиться к своему здоровью халатно. Диагностировать нарушения функционирования эндопротеза можно, если человек посещает профилактические осмотры у врача, делает контрольные снимки. При появлении симптоматики, свидетельствующей о наличии вывиха имплантата, нужно незамедлительно отправиться за помощью к специалистам.
Вывих эндопротеза: причины
Согласно статистике, чаще вывих эндопротеза диагностируется у представительниц женского пола, нежели мужского. Также в группу риска входят лица:
- Пожилого возраста. Это объясняется их слабой структурой костной ткани, которая становится более рыхлой;
- Страдающие от лишнего веса, ожирения. Все потому что при большой массе тела ежедневно будет оказываться слишком большая нагрузка на протез;
- Обладающие высоким ростом.
Диагноз «вывих тазобедренного эндопротеза» обозначает, что установленный ранее в область бедра имплант, вышел за пределы вертлужной впадины.
Произойти это может по нескольким причинам:
- Перенесенные иные операции на тазобедренную область;
- Нарушение назначенного врачом режима;
- Травма бедра;
- Имеющиеся патологические дефекты в тазобедренной области;
- Осуществление слишком активных движений или больших физических нагрузок;
- Ослабление мышц;
- Протрузия самой вертлужной впадины;
- Наличие диагноза дисплазия.
Общее описание травмы
Осложнение в виде вывиха подразумевает смещение головки импланта. Такое состояние нередко возникает из-за неправильно проведенной операции по имплантированию протеза. Статистически вывих встречается примерно у 1,5% пациентов, перенесших операцию впервые (первичное протезирование).
Выходит, что на 1000 пациентов приходится 15 случаев вывиха эндопротеза ТБС. Примерно у 4-5% пациентов вывих возникает через определенное время (обычно 1-6 месяцев) после проведения ревизионного хирургического вмешательства. Это зарубежные данные.
Вероятность вывиха эндопротеза существенно увеличивается в случаях, когда протезирование проводится во второй или третий раз (а также последующие разы). Согласно российской статистике у 10% пациентов в течение 6 лет после операции наблюдается такое состояние, после ревизии – у 25% пациентов.
Предугадать время возникновения такой травмы невозможно. Она может произойти через пару недель после операции, а может произойти и через 10-20-30 лет. Чаще всего осложнение возникает в течение 4-6 месяцев после протезирования.
Причины вывиха эндопротеза ТБС
Существует 3 категории причин вывиха протеза ТБС, различающихся между собой кардинально. Потому прогноз для каждой категории свой.
Если причиной стало плохое качество вживленной конструкции – прогноз лучше, если причина в возрасте пациента или его состоянии здоровья, то прогноз хуже.
Зависящие от пациента причины:
- Недавно перенесенное оперативное вмешательство на тазобедренных суставах.
- Травма тазовой области.
- Игнорирование пациентом предписаний врача по поводу ортопедического режима.
- Слабость в мышцах, которые отводят бедро.
- Игнорирование пациентом предписаний по поводу ограничений объема движений в прооперированном суставе.
- Пожилой возраст (возрастные изменения в организме, в группе риска люди, которые старше 60 лет).
- Серьезные анатомические/физиологические дефекты в строении опорно-двигательной системы в целом.
- Избыточная масса тела (ожирение 2-3 стадии).
Причины, которые зависят от импланта:
- применение врачом однополюсных протезов с биполярной головкой;
- использование врачом бедренных головок с малым размером (диаметр до 28 мм);
- деструкция полимерного вкладыша;
- расшатывание установленной конструкции (неправильно проведенная операция по имплантации).
Причины, которые зависят от хирурга:
- Проведение вживления протеза через задний доступ.
- Неправильное расположение чашки с углом абдукции <30 градусов и более 50 градусов, с углом антерверсии в <5 градусов и более 25 градусов.
- Неправильное расположение бедренной ножки протеза при угле антеторсии <5 градусов.
- Частое вправление вывиха протеза неинвазивным способом (безоперационным, консервативным).
Примерно в 60% случаев вывих развивается в послеоперационный период. То есть, в течение 2-10 недель после протезирования. Если в течение года после операции осложнение не развивается, то пациент выходит из группы риска по развитию вывиха.
Лечебные мероприятия
Если вывих первичный и сохранено движение структур протеза, врач может назначить консервативную терапию. Терапия включает срочную репозицию головки протеза и обездвиживание ноги на 4–6 недель. Также назначают медикаменты, лечебную гимнастику и процедуры физиотерапии.
Если вывих бедра повторялся несколько раз, то врач назначает операцию. Вывих вправляют под наркозом. После репозиции пациенту назначается постельный режим в течение недели. На второй неделе начинают реабилитацию под наблюдением врача.
Также больному назначают медикаментозное лечение:
- НПВП;
- препараты для улучшения кровоснабжения бедра;
- антибактериальные средства;
- препараты кальция.
Вид хирургической операции зависит от причины вывиха.
Часто вывих происходит из-за того, что в имплантате стирается полиэтилен, из-за чего смещается головка сустава. Когда установят причину, назначают операцию. Ее цель — обеспечить правильное положение эндопротеза и предотвратить вывих.
- изменение расположения составных частей эндопротеза;
- восстановление мышечного натяжения.
При этом соединение стабилизируется. Но такой процедуры недостаточно для устранения риска повторных вывихов. Поэтому осуществляют замену головки протеза, увеличивают ее диаметр или длину шейки.
Осуществляют установку вкладыша с антилюксационным элементом. Расположение вертлужной части делают при неправильно установленной ориентации.
Если после операции сустав не восстановился, то причина заключается в поражении мышц или неврологической патологии. Тогда назначают имплантацию связанного протеза. Но тогда область контакта сустава и вертлужного элемента будет подвергаться повышенной нагрузке.
Что делать после обнаружения симптомов
Признаки смещения или нестабильности эндопротеза тазобедренного сустава аналогичны проявлениям патологий здоровых связок. У пациента может наблюдаться:
- резкая, нарастающая боль в области импланта;
- нарушение подвижности, слабость ноги;
- укорочение повреждённой конечности;
- локальное перенапряжение мышц;
- покраснение, отёк, гематома.
Распознать вывих эндопротеза тазобедренного сустава можно по нескольким признакам:
- у больного возобновляются сильные боли;
- вывих эндопротеза привел к изменению длины травмированной конечности;
- пациент жалуется на скованность и болезненность движений.
Неправильная установка эндопротеза чревата различными осложнениями:
- начинаются воспалительные процессы в месте протезирования;
- образование отека и появление болевых ощущений в суставе;
- больной чувствует слабость в ногах и быстро устает при ходьбе;
- происходит потеря опоры для эндопротеза;
- развивается тромбоз нижних конечностей.
После эндопротезирования тазобедренного сустава вывих импланта преимущественно выражается в виде сильного болевого синдрома и полного ограничения каких-либо движений в прооперированном сочленении. Кроме этого, нередко прооперированная нога укорачивается, что заметно относительно здоровой конечности.
Несложно определить вывих эндопротеза тазобедренного сустава. Симптомы аномалии, которые сигнализируют о том, что человеку необходима медицинская помощь:
- появились острые, непрерывные боли в области суставов, связок.
- Нога, в которой стоит искусственный сустав, после вывиха станет короче, чем другая. Этот симптом можно будет устранить, занимаясь лечебной физкультурой.
- Двигательная активность становится менее активной, скованной.
При появлении симптомов вывиха эндопротеза тазобедренного сустава, человеку должна быть оказана первая помощь, после чего его нужно отвезти к врачу. Специалист проводит диагностику, после чего решает, каким способом можно вправить сочленение: закрытым или открытым. Повторное хирургическое вмешательство проводят редко. Зачастую удается вправить эндопротез закрытым способом, с использованием рентген-аппарата, когда пациент находится под общей анестезией.
Лечение после вправления вывиха искусственного сустава проводят только в профильном стационаре. Пациенту показан постельный режим (семь-десять суток), учитывая его возрастную категорию, а также симптомы болезни, имеющиеся сопутствующие патологии.
Когда период восстановления заканчивается, больного учат ходить, с использованием обездвиживающих принадлежностей (гипсовая повязка, лонгета, и т.п.). Процесс контролирует физиотерапевт.
Чтобы определить наличие вывиха протеза тазобедренного сустава, следует знать, каковы симптомы этой травмы. О том, что повреждение присутствует, пациент узнает сразу, поскольку проявления осложнения достаточно серьезны.
Реже вывих тазобедренного сустава не имеет симптомов, что может быть опасным для пациента, который, не догадываясь о присутствии проблемы, продолжает вести привычный образ жизни.
- Избавляет от боли и отеков в суставах при артрите и артрозе
- Восстанавливает суставы и ткани, эффективен при остеохондрозе
Так как искусственный сустав не может полностью заменить естественные ткани, по этой причине функциональность у него понижена
В связи с этим любое неосторожное движение тазобедренного сустава, очень ранняя реабилитация или какое-либо сложное упражнение могут вызывать вывих эндопротеза. В том числе к этому может привести обычное падение. При вывихе искусственного тазобедренного сустава наблюдаются симптомы:
При вывихе искусственного тазобедренного сустава наблюдаются симптомы:
- болевой синдром в суставе;
- больно наступать на ногу;
- движения ноги ограничены;
- деформация сочленения.
При такой патологии необходима экстренная медицинская помощь: обезболивание, вправление сустава или операция.
Реабилитация после операции
Продолжительность реабилитационного периода у взрослых после хирургического вмешательства бывает разной. Это зависит от особенностей организма, усердия и ответственности пациента, соблюдения предписанных правил. Все процедуры можно дополнить массажем, выполняемым профессионалом, человеком с профильным образованием и опытом работы.
На протяжении всего периода реабилитации нужно заниматься лечебной физкультурой. Сопровождающий врач укажет на совершаемые ошибки. После овладения техникой выполнения упражнений можно перенести занятия на дом и выполнять их самостоятельно. Главный признак правильно выполняемых упражнений – отсутствие болевых ощущений. При подозрении на нарушения необходимо прекратить занятия.